Імплантація зубів — один із найнадійніших методів відновлення посмішки. Проте в поодиноких випадках пацієнти стикаються з проблемою, коли імплант не приживається або з часом виникає запалення навколо нього.Одна з найпоширеніших причин — периімплантит.Наш хірург-імплантолог із 11-річним досвідом пояснює, чому таке трапляється та як діяти в подібній ситуації. Що таке периімплантит?...
Видалення зуба мудрості Голосієво
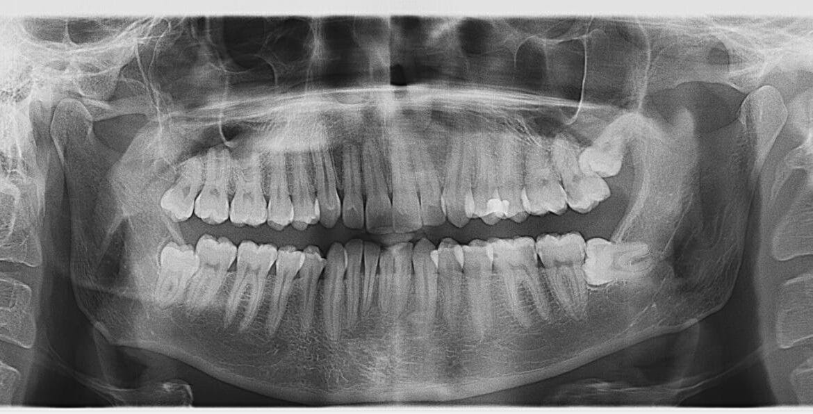
Видалення зуба у Голосіївському районі Києва — це хірургічна процедура, яка потребує досвіду, точної діагностики та сучасного обладнання. У клініці Dentistman видалення зубів мудрості проводить лікар хірург-імплантолог Павло з понад 10-річним клінічним досвідом, що гарантує безпеку, мінімальний дискомфорт та швидке відновлення. Коли необхідне видалення зуба мудрості Зуби мудрості часто ростуть...
КТ зубів та 3D сканування в клініці Dentistman у Києві
У сучасній стоматології точна діагностика є основою успішного лікування. Клініка Dentistman пропонує передові послуги комп'ютерної томографії (КТ) зубів та 3D-сканування, які дозволяють отримати максимально детальні зображення зубів, щелеп, суглобів та навколишніх тканин. Ці технології незамінні при плануванні дентальної імплантації, ортодонтичного лікування, ендодонтії, видалення зубів мудрості та складних хірургічних втручань. Що...



