Ортодонтія
Професійна та якісна Ортодонтія в Києві
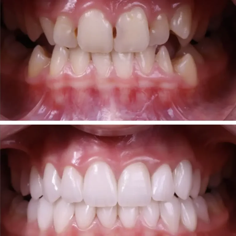
Багато хто мріє про красиву і здорову посмішку. Правда, мати рівні зуби і правильний прикус – це не тільки про естетику, а й про здоров’я. Це хороша профілактика багатьох захворювань, а також – ідеальна посмішка, яка робить нас впевненіше.
Та усвідомлення це приходить в зрілому віці. А робити посмішку естетичніше і виправляти прикус простіше в дитинстві, коли зуби ще ростуть. Якщо у вас є дитина, краще подбати про його зуби якомога раніше.
Наш ортодонт з досвідом 24 роки постійно проходить курси підвищення кваліфікації, її роботи вражають, оскільки працює вона з найскладнішими випадками та будь-якими ортодонтичними системами вже багато років.
Консультація ортодонта -300 грн.

Хочете вирівняти зуби і виправити прикус?
У цьому допоможе ортодонтія в Києві – клініка Dentistman спеціалізується на різних розділах стоматології.
Ортодонт у Києві з досвідом понад 24 роки
Шукаєте хорошого ортодонта у Києві?
У стоматологічній клініці Dentistman приймає лікар-ортодонт з досвідом роботи понад 24 роки, яка допомагає пацієнтам вирішувати ортодонтичні проблеми будь-якої складності — від простих до комплексних клінічних випадків.
За роки практики лікар успішно працювала з:
неправильним прикусом у дітей та дорослих;
скупченістю та нерівним положенням зубів;
складними ортодонтичними аномаліями, що потребують поетапного лікування.
Цей напрямок, яке спеціалізується на патології прикусу і виправлення положення зубів (коли ті розташовані неправильно).
«Звичайний» стоматолог може дуже добре і успішно доглядати за брекетами, але частіше це робить ортодонт . Це теж стоматолог, але з додатковою спеціалізацією, який присвячує свою роботу, перш за все, ортодонтичним апаратам.
Неправильний прикус може виникнути через:
- Зуби росли неправильно
- Зуби змістилися після того, як видалили сусідні
- Верхня або нижня щелепа розвивалися не так, як треба (з аномаліями)
Перші 2 причини можна усунути безопераційним втручанням.
З третьої зазвичай справляються комбінованим лікуванням (щелепно-лицевий хірург і ортодонт в Києві ).
У Dentistman використовуються сучасні апарати і технології, щоб виправити прикус і вирівняти зубний ряд.
Які апарати використовуються при ортодонтичному лікуванні?
Щоб отримати бажаний результат, пацієнту необхідно використовувати той тип апарату, який краще підходить для його конкретного випадку.
Також дуже важливо приділяти пильну увагу гігієні порожнини рота протягом усього процесу ортодонтичного лікування.
У практиці використовуються такі апарати:
Сюди відносять функціональний трейнер і пластинка. Цю апаратуру встановлюють діткам, коли їх щелепи ще ростуть. Вона може вирівняти зуби на етапі, коли вони тільки прорізуються.
Пластинки і трейнери потрібні для того, щоб відкоригувати деформацію зубного ряду або для профілактики (якщо спостерігається смоктання пальців і губ, інфантильне ковтання).
Це брекети, призначені для дорослих пацієнтів і підлітків. Вони потрібні, щоб виправити проблеми з прикусом. Брекет-система являє собою маленькі замочки, які клеяться на поверхню зубів (зовні або всередині). Їх з’єднують між собою за допомогою тонкої дуги з металу. Вважається, що саме за допомогою брекетів можна досягти найкращого ефекту.
Найпопулярніші варіанти – сапфірові і металеві. Перші відрізняються від других тим, що деякі їх деталі виготовляються прозорими або під колір зубів. Завдяки цьому вони стають ледь помітними.
Коли звертатися до стоматолога-ортодонта?
Можна використовувати брекети для вирівнювання зубів пацієнтів з 8-10 років, оптимальний вік – 12-14 років. Саме тоді у зубів спостерігається активне зростання, тому брекет-система буде особливо ефективною.Першу консультацію ортодонта можна отримати вже в 5-7 років.
Це не означає, що якщо встановити її в 30 років, вона виявиться марною. Просто потрібно налаштуватися на те, що лікування триватиме довше.
Стоматолог-ортодонт в «Дентістмен» підбере оптимальні апарати для кожного пацієнта, виходячи з його віку і загальної картини патології. Також він проконсультує щодо догляду та особливостей використання ортодонтичної конструкції.
Скільки триває ортодонтичне лікування?
Середній термін – 1,5-2 роки. Все залежить від того, наскільки порушений прикус, і в якому віці пацієнт звернувся до фахівця.
Лікування брекет-системою – це активний і початковий етап. Після того як вам знімуть їх, належить встановити ретейнери. Це спеціальна дуга з внутрішньої сторони зубів, завдяки якій вони не зміщуються назад.
Вони зовсім не помітні для сторонніх, а сам пацієнт забуває про них уже через кілька тижнів – вони ледь відчутні.
Важливо відвідувати ортодонта раз в 1-2 місяці (він повідомить регулярність візитів). Так можна контролювати хід лікування, щоб воно було максимально ефективним.
Лікар ортодонт з досвідом 24 р. – ефективне лікування з гарантією результату.
Стоматологи
Ми даємо гарантію на нашу роботу від 1 до 10 років, в залежності від виду та складності роботи.
Досвід спеціалістів від 6 до 23 років. Встановили понад 15000 імплантатів із приживанням в 99% випадків.
Більше 10 років ми виготовляємо коронки на імплантах, вініри, всі види протезів, капи.
Поширені запитання
Чи потрібно лікувати зуби перед установкою брекетів?
Їх поставлять тільки в тому випадку, коли у вас зовсім не буде карієсу. Тому перед установкою ротову порожнину повністю санують.
Який метод виправлення прикусу найефективніший?
Це брекет-система, адже вона впорається з будь-яким викривленням зубного ряду. Через те, що це незнімна конструкція, лікар завжди може проконтролювати оптимальне навантаження на зуби. Дитячі пластинки і капи можуть впоратися тільки з незначними викривленнями (і то в тому випадку, коли пацієнти регулярно носять їх і дотримуються всіх призначень лікаря).
Ставити або знімати брекет-систему - це боляче?
Ні, цей процес проходить зовсім без больових відчуттів.
За який період можна повністю звикнути до брекетів?
Це індивідуально в кожному випадку і залежить від самого пацієнта. Зазвичай звикання займає всього кілька тижнів.


































