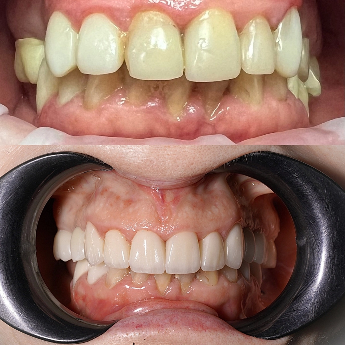
Керамічна коронка — естетичне та безпечне відновлення зубів
Керамічна коронка — це сучасний вид протезування зубів, який дозволяє максимально точно відновити
форму, колір і функцію зуба, зберігаючи природний вигляд усмішки. Завдяки відсутності металу така коронка виглядає натурально, не темніє з часом і добре сприймається організмом.
Керамічні коронки найчастіше обирають пацієнти, для яких важлива
естетика, комфорт і довготривалий результат, особливо в зоні посмішки.
У нашій клініці протезуванням займаються лікарі-ортопеди:
Катерина (досвід 7 років) та Дмитро (досвід 15 років).

Що таке керамічна коронка і з чого вона виготовляється?
Керамічна коронка виготовляється повністю з медичної кераміки, без металевого каркаса. Завдяки цьому вона:
- пропускає світло, як натуральний зуб;
- не має сірого краю біля ясен;
- не викликає алергічних реакцій.
За зовнішнім виглядом керамічну коронку практично неможливо відрізнити від власного зуба.

Коли рекомендують встановлення керамічної коронки?
- значне руйнування зуба;
- тріщини або відколи;
- після лікування кореневих каналів;
- відновлення передніх зубів;
- заміна старих або неестетичних коронок.

Переваги керамічних коронок
- максимальна естетика та природний вигляд;
- у випадках, коли зуб живий, можливе встановлення коронки без лікування кореневих каналів (за відсутності запалення);
- відсутність металу та темної лінії біля ясен;
- біосумісність і безпека для організму;
- комфорт у повсякденному житті — ви швидко забуваєте, що коронка встановлена;
- довготривалий термін служби за правильного догляду — понад 15 років.
Саме тому керамічні коронки вважаються одним із найкращих рішень для зони посмішки.

Чи боляче ставити керамічну коронку?
Ні, процедура безболісна.
Встановлення керамічної коронки проводиться під місцевою анестезією, тому пацієнт не відчуває болю. Сучасні протоколи лікування дозволяють:
- комфортно підготувати зуб;
- точно зняти відбитки або виконати 3D-сканування;
- встановити коронку без дискомфорту;
- після процедури можливий лише незначний адаптаційний період.

Чи потрібно видаляти нерв перед встановленням керамічної коронки?
За сучасними стандартами та протоколами стоматології нерв не видаляють без потреби. Живий зуб зберігають, якщо він здоровий і немає запалення.
Депульпація проводиться лише за показаннями — для безпеки та довготривалого результату.

Скільки служить керамічна коронка
При правильному виготовленні та догляді керамічна коронка служить 10–15 років і більше.
На термін служби впливають:
- точність роботи лікаря;
- якість матеріалу;
- правильний прикус;
- регулярна гігієна та профілактичні огляди.

Керамічна коронка чи металокерамічна — у чому різниця
Керамічна коронка:
- краща естетика;
- відсутність металу;
- ідеальна для передніх зубів.
Металокерамічна коронка:
- висока міцність;
- доступніша ціна;
- частіше використовується для жувальних зубів;
- поступається в естетиці: при опусканні ясен може бути видно металевий край.

Чому важливо звернутися до досвідченого ортопеда
Навіть найякісніша кераміка не дасть результату без:
- точної діагностики та КТ-знімка;
- правильного препарування зуба;
- якісної фіксації коронки;
- контролю прикусу та 3D-сканування.
Саме досвід лікаря гарантує естетику, комфорт і довговічність коронки.

Запис на консультацію
Якщо ви розглядаєте керамічну коронку або сумніваєтесь,
який тип протезування підійде саме вам,
— запишіться на консультацію.
Лікар оцінить стан зубів і запропонує оптимальне рішення.
Поширені запитання
Середній термін служби керамічної коронки — 10–15 років і більше.
На практиці при правильному плануванні, якісному виготовленні та регулярному догляді такі коронки можуть служити 20 років і довше.
На довговічність впливають:
- точність підготовки зуба або імпланта,
- якість матеріалу (E-max, повнокерамічні системи),
- прикус і жувальне навантаження,
- гігієна порожнини рота та регулярні огляди.
Так, можна.
Якщо під керамічною коронкою був живий зуб і з часом виникло запалення нерва (наприклад, через переохолодження), лікування можливе без зняття коронки.
За умови, що на рентген-знімку не виявлено повторного карієсу або тріщин коронки, лікар може пролікувати кореневі канали через коронку, не демонтуючи її.
Якщо цілісність коронки збережена, ендодонтичне лікування проводиться без її зняття.
Ні, якісно виготовлена керамічна коронка візуально не відрізняється від власного зуба.
Безметалева кераміка:
- має природну прозорість,
- правильно передає колір і світлопроникність емалі,
- індивідуально підбирається під сусідні зуби.
Саме тому керамічні коронки вважаються «золотим стандартом естетики», особливо в зоні посмішки.
Ні. Усі етапи проходять під сучасною місцевою анестезією, тому процедура безболісна.
Можливий лише:
- мінімальний дискомфорт після обточування,
- легка чутливість, яка минає за 1–2 дні.
Пацієнти часто зазначають, що процедура значно комфортніша, ніж очікували.
Так, і це найкращий вибір для передніх зубів.
Керамічні коронки:
- максимально імітують природну емаль,
- не мають металевого каркасу,
- не створюють сірого обідка біля ясен.
Саме тому для фронтальної зони найчастіше рекомендують E-max або інші цільнокерамічні системи.
Ні. Кераміка біосумісна, не окислюється і не взаємодіє з тканинами ясен.
На відміну від металокераміки:
- немає сірого або темного краю,
- ясна зберігають природний колір навіть через багато років.
Це одна з ключових причин, чому пацієнти обирають саме керамічні коронки.
Так, керамічні коронки ідеально підходять для встановлення на імпланти.
Переваги:
- висока естетика,
- природний вигляд ясен,
- міцність і довговічність.
Керамічні коронки часто використовують на імплантах у зоні посмішки та при повному відновленні зубів.
У середньому — 6–10 днів.
Процес включає:
- підготовку зуба або імпланта,
- цифрові зліпки або 3D-сканування,
- виготовлення коронки в лабораторії,
- примірку та фіксацію.
На цей час пацієнту встановлюється тимчасова коронка, тому естетика і комфорт не порушуються.
Сучасна кераміка має високу міцність, але, як і власні зуби, може пошкоджуватися при надмірних навантаженнях.
Ризики підвищуються при:
- бруксизмі (скреготінні зубами),
- дуже сильному або порушеному прикусі
(у таких випадках зазвичай рекомендують ортодонтичне лікування, однак іноді пацієнт обирає компромісний варіант), - відкриванні зубами твердих предметів.
У таких ситуаціях лікар може рекомендувати захисну нічну капу.
Ні, догляд такий самий, як за власними зубами, але з більшою уважністю.
Рекомендовано:
- чистити зуби 2 рази на день,
- використовувати зубну нитку або іригатор,
- проходити професійну гігієну 1–2 рази на рік,
- регулярно відвідувати стоматолога для контролю.
Так. Гарантія на роботу та матеріали — до 5 років за умови профілактичних оглядів кожні 6 місяців.
Гарантія зазвичай покриває:
- фіксацію коронки,
- цілісність конструкції,
- відповідність заявленому матеріалу.
