Ціна тотальної імплантації зубів All-on-6 Straumann на 6 імплантах
Вартість тотальної імплантації на 6 імплантах Straumann (Швейцарія)
Вартість тотальної імплантації формується поетапно та включає
всі необхідні процедури для відновлення зубів:
- консультація та діагностика (3D-знімок) — 100 грн;
- центрафіксація (визначення та фіксація положення щелеп)
та 3D-сканування ротової порожнини — 7 500 грн; - встановлення 6 імплантів Straumann та мультиюнитів
(1 етап)— 178 800 грн; - тимчасовий протез з фіксацією на 4 імплантах
з металевим каркасом (2 етап, встановлюється через
10 днів після імплантації)
з використанням лицьової дуги — 50 000 грн; - постійний протез на титановій балці,
фіксований на імплантах Straumann
(3 етап) — 150 000 грн; - підтяжка гвинтів та закриття шахт
(6 × 800 грн) — 4 800 грн.
Вартість імплантації «під ключ» — 392 200 грн.
Остаточний план лікування та вартість визначаються
після огляду та діагностики.

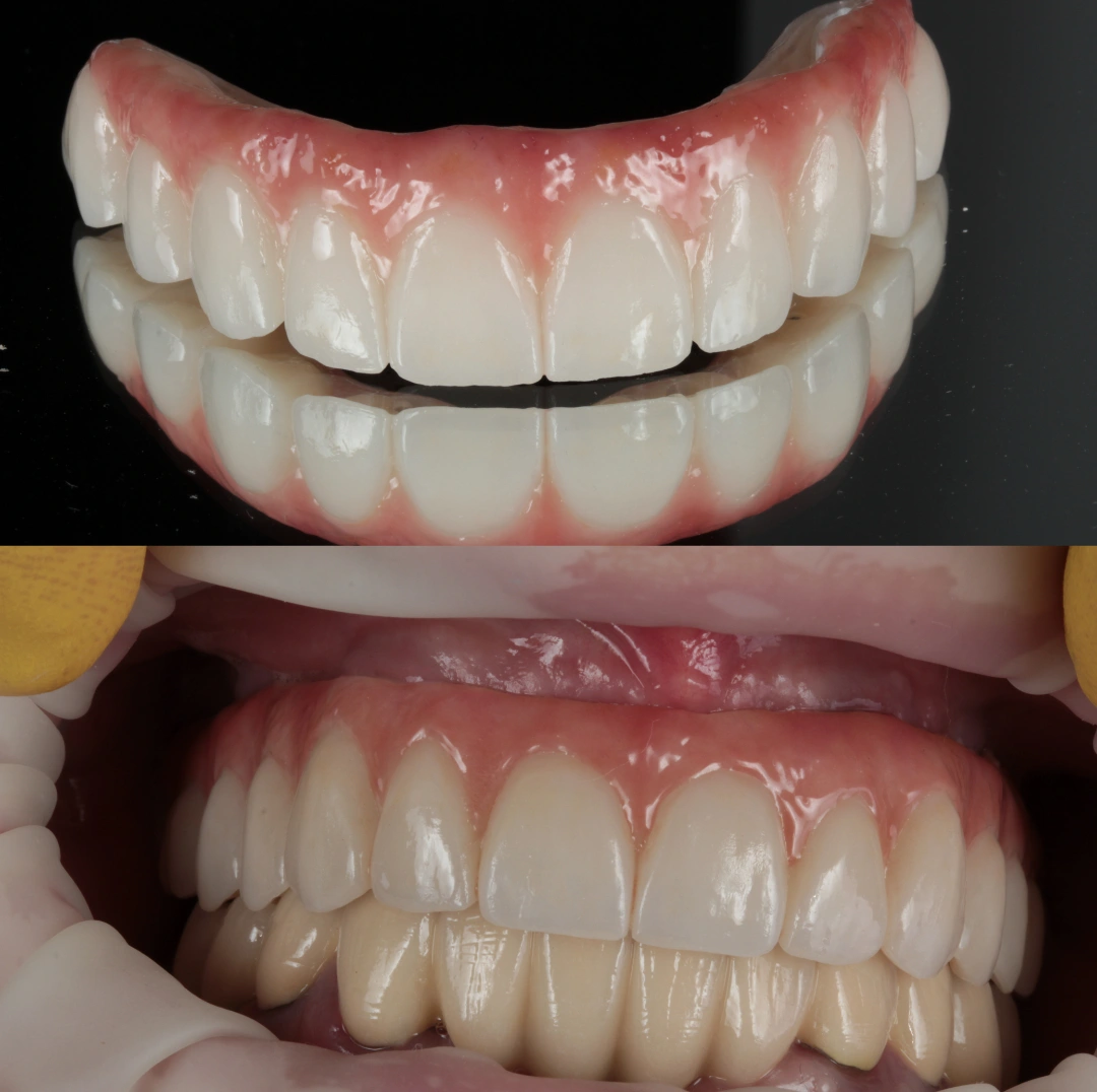
Тотальна імплантація зубів етапи: на 6 імплантах All-on-6 Straumann
Тотальна імплантація зубів
за протоколом All-on-6 дозволяє відновити повний зубний ряд
з фіксованими протезами на імплантах Straumann.
Хірургічний етап (2–3 візити)
- комплексна діагностика (3D-знімок);
- 3D-сканування ротової порожнини;
- встановлення дентальних імплантів;
- встановлення Multi-unit.
Ортопедична частина: тимчасовий протез
(через 10 днів після імплантації, 1 візит)
- тимчасовий протез з фіксацією на імплантах
з металевим каркасом Straumann; - використання лицьової дуги.
План лікування та терміни протезування визначаються індивідуально
після огляду та діагностики.
Можна переглянути фото до та після у розділі: Фото робіт.

Лікарі-імплантологи Dentistman
У клініці Dentistman імплантацію виконують досвідчені
хірурги-імплантологи:
- Павло —з досвідом понад 11 років; хірург-імплантолог
- Владислав —з досвідом понад 30 років.хірург-імплантолог
Оплата частинами для імплантації зубів
Для зручності пацієнтів доступна
оплата частинами:
- оплата частинами до 4 місяців;
- миттєва розстрочка до 24 місяців.
Ви можете скористатися оплатою частинами для
будь-якого етапу лікування.
Наприклад, перший етап оплатити самостійно,
а на наступний можете взяти в оплату частинами. Детальніше про умови в розділі ціни. Почніть імплантацію зубів у Dentistman – гарантований результат

Запишіться на консультацію з імплантологом
Якщо ви розглядаєте тотальну імплантацію зубів або
хочете дізнатися, який варіант лікування підійде саме вам,
запишіться на консультацію.
Лікар проведе огляд, оцінить стан кісткової тканини,
пояснить етапи лікування та підбере
оптимальне рішення з урахуванням бюджету.
- індивідуальний план лікування;
- точний розрахунок вартості;
- відповіді на всі запитання без поспіху.
Консультація ортопеда або імплантолога —
200 грн.
Поширені запитання
Так, у більшості випадків після імплантації за протоколом
All-on-6 можливе встановлення
тимчасового фіксованого протеза
вже через 7-10 днів.
Це дозволяє пацієнту не залишатися без зубів,
зберегти естетику посмішки та жувальну функцію
на період приживлення імплантів.
Остаточне рішення щодо негайного навантаження
приймає лікар після діагностики та оцінки
стану кісткової тканини.
